博彩网-香港乐博彩公_百家乐园蒙特卡罗_全讯网源码 (中国)·官方网站

教學周

門戶系統 學生 教師 校友 考生 VPN 郵箱 圖書館 EN

首頁

首頁 / 媒體關注 / 正文

【大江網】南大一附院腫瘤科完成院內首例3D打印三維后裝

作者:時間:2022-11-16
攝影 單位 第一附屬醫院
  

9月2日,南大一附院腫瘤科在院內首次開展3D打印三維后裝插植放療技術,使宮頸癌后裝治療更加“個體化”和“精確化”。

4月,周女士因月經淋漓不盡被確診為宮頸癌,在當地醫院行宮頸癌根治術后,術后病理分期為IIIC1p期。根據手術病理結果,周女士術后需要補充輔助性放化療。根據復查的影像學結果,腫瘤科、婦產科專家聯合進行婦科查體,確定患者原宮頸及宮旁有腫瘤組織殘留,同時無再次手術機會。為進一步提高治療療效,盡可能減輕副作用,醫務人員對患者行3D打印三維后裝及組織間插植放療,并由腫瘤科專家成功為周女士完成了第一次3D打印三維后裝及組織間插植放療。

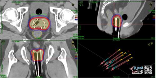
圖為后裝靶區及劑量

“后裝在宮頸癌根治放療中必不可少,不能被其他體外放射治療所替代。對于腫瘤偏心、體積偏大或宮旁受累的患者,在后裝治療時需結合組織間插植才能使劑量線更好地覆蓋靶區,但組織間插植技術難度高,受操作者技術熟練程度影響,具有臨床操作難度大、風險高、重復性差等缺點。”南大一附院腫瘤科主任李勇教授介紹,3D打印技術是一種新興的技術,具有數字化和個體化的特點,可以制作出各種結構復雜的模具,比如打印導板、腫瘤模型、放療補償等。

3D打印后裝模具制作主要包括圖像采集、預計劃制定、3D模具設計及打印等過程,設計完成經醫生確認后,將數據傳至3D打印機,使用PLA材料打印出模具。3D打印模具可以降低操作難度,減小重復誤差,降低膀胱及直腸的近期發生不良反應情況,通過預計劃設置插植針道,避免周圍器官損傷,控制插植針進針方向及深度、降低插植技術難度,彌補通用施源器不足之處。在對臨床上因腫瘤位置及解剖結構等導致施源器放置困難的患者,多項研究均證實3D打印模板的劑量學優勢。

原文鏈接:

https://jxylw.jxnews.com.cn/system/2022/10/21/019818875.shtml

編    輯:杜小婷

責任編輯:曾  慧

百家乐策略介绍| 太阳会百家乐现金网| 皇冠在线娱乐| 金都百家乐官网的玩法技巧和规则 | 利高百家乐娱乐城| 太阳城开户| 菲律宾百家乐试玩| 真钱百家乐赌博| 澳门百家乐走势图怎么看| 百家乐官网d博彩论坛| 真人百家乐代理分成| 大发888在线娱乐加盟合作| 澳门百家乐官网娱乐网| 大发888大家赢娱乐| 百家乐官网鞋| 济阳县| 代理百家乐试玩| 世嘉百家乐官网的玩法技巧和规则| 百家乐在线娱乐网| 网络百家乐官网网站| 博王娱乐| 百家乐电话投注多少| 百家乐视频下载地址| 百家乐官网推荐怎么看| 大发888线上娱乐城百家乐| 百家乐流水打法| 网上百家乐官网骗局| bet365贴吧| 新西兰百家乐的玩法技巧和规则| 博彩百家乐官网的玩法技巧和规则 | 合乐娱乐| 太阳城百家乐红利| 百家乐官网喜牛| 普兰县| 百家乐庄闲点数| 西乡县| 娱网棋牌官方网站| 7位百家乐扑克桌| 百家乐9人桌布| 百家乐连输的时候| 新百家乐官网的玩法技巧和规则 |